Are patients restrained during surgery? Most surgical procedures require anesthesia for the patient. In most cases where general anesthesia is used, the p...
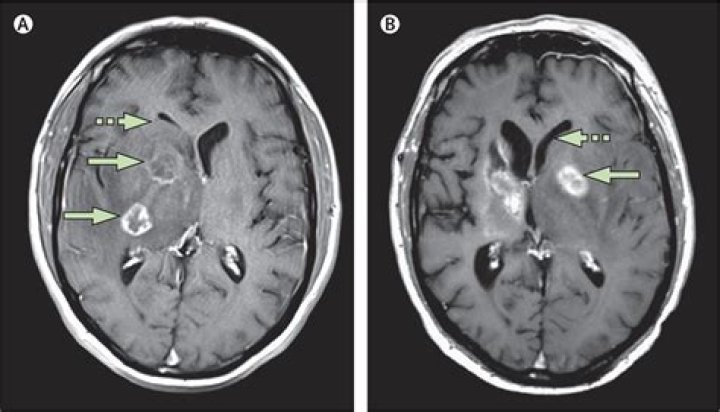
Cerebral toxoplasmosis is usually caused by reactivation of the latent cystic form of T. gondii in the central nervous system (CNScentral nervous system (...
Believe it or not, kangaroos have three legs! This discovery was made in 2014 by a team from Canada's Simon Fraser University. They corralled red kan...
So every single night when visitors leave, the animatronics keep working, just dancing and waving in the dark until the lights turn back on in the morning...
The word "end" starts with a vowel sound. Any word that starts with a vowel sound you must use "an" in front of it and not "a". etc. Is coming to an end o...
Haemocyanin is less efficient than haemoglobin as an oxygen transporter. The three hearts help to compensate for this by pumping blood at higher pressure ...
A person who can speak four or more languages is multilingual. Only three percent of people around the world can speak over four languages. Less than one ...
While Cecil was surrounded by the two other werewolves, Greyback transformed. Chiara, in werewolf form, arrived and attacked Fenrir in an attempt to prote...